Implants
Implants are a great way to replace a missing tooth, and are now done completely in office without referrals to specialists! This will save the patient a significant amount of money, but also ensures there are no communication, or timing issues due to coordination with specialists.
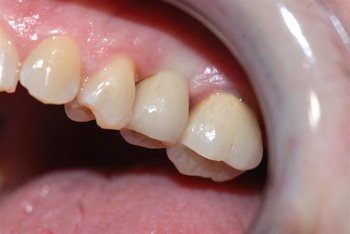
The implant is a metal post placed in the bone. After the surrounding structures heal around the implant, we will cement a crown on top of it. The reason implants are well-liked is because they look and act just as a natural tooth - there is no special appliance to apply/remove or clean under. Implant treatment is one of the most popular procedures at our office.
Examples from Dr. Clark-Lowell's work:
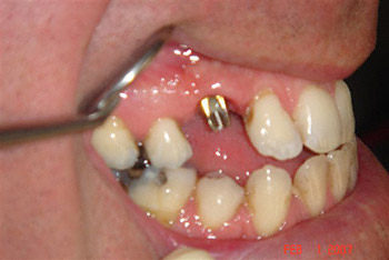
before implant

after implant

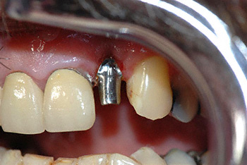
before implant

after implant

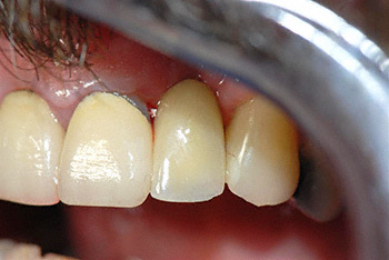
before implant

after implant

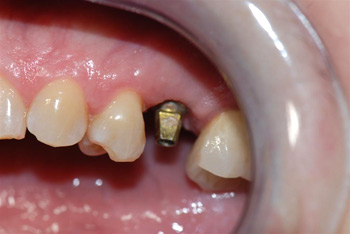
before implant

after implant

Implants
Implants are a great way to replace a missing tooth, and are now done completely in office without referrals to specialists! This will save the patient a significant amount of money, but also ensures there are no communication, or timing issues due to coordination with specialists.
The implant is a metal post placed in the bone. After the surrounding structures heal around the implant, we will cement a crown on top of it. The reason implants are well-liked is because they look and act just as a natural tooth - there is no special appliance to apply/remove or clean under. Implant treatment is one of the most popular procedures at our office.
Examples from Dr. Clark-Lowell's work:
before implant
|
after implant
|
before implant
|
after implant
|
before implant
|
after implant
|
before implant
|
after implant
|