Crowns
Crowns are now done with our in-house Cerec milling system, so you can wait a short time for the finished product! We are thrilled with this new technology and can finally produce crowns with materials which are very similar in appearance to the natural variation and coloring of your individual teeth.
Example from Dr. Clark-Lowell's work:
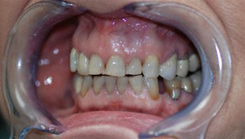
before anterior crowns

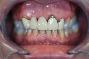
after anterior crowns

before anterior crowns

after anterior crowns

before anterior (front) crowns

after anterior crowns

before crown & bridge top arch

after crown & bridge (bleaching on lower arch)

Crowns
Crowns are now done with our in-house Cerec milling system, so you can wait a short time for the finished product! We are thrilled with this new technology and can finally produce crowns with materials which are very similar in appearance to the natural variation and coloring of your individual teeth.
before anterior crowns
|
after anterior crowns
|
before anterior crowns
|
after anterior crowns
|
before anterior (front) crowns
|
after anterior crowns
|
before crown & bridge top arch
|
after crown & bridge (bleaching on lower arch)
|