Bridges
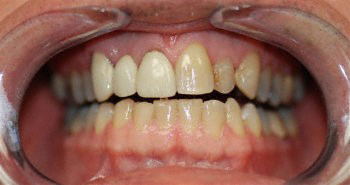
Example from Dr. Clark-Lowell's work:
before bridge/whitening

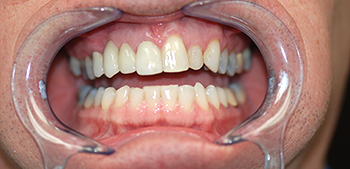
after bridge/whitening

Bridges
before bridge/whitening
|
after bridge/whitening
|