Dentures
Full upper & lower dentures (Lower implant overdenture)
before lower denture insertion (4 implants)

underside of denture

after denture insertion

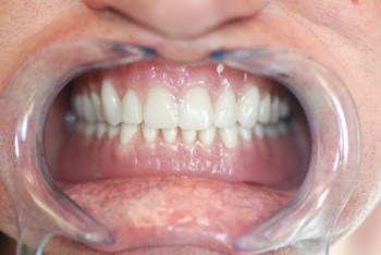
the finished smile!

Lower partial denture:
before partial denture
.jpg)
after partial denture
.jpg)
Dentures
before lower denture insertion (4 implants)
|
underside of denture
|
after denture insertion
|
the finished smile!
|
Lower partial denture:
before partial denture
|
after partial denture
|